.png)
Introduction
Hip osteoarthritis (OA) is a degenerative joint disease characterized by the gradual breakdown of cartilage in the hip joint. As the protective cartilage wears away, bones begin to rub against each other, leading to pain, stiffness, and reduced mobility. Affecting millions worldwide, hip OA significantly impacts quality of life, especially in older adults. However, advancements in conservative and regenerative therapies now offer hope for managing symptoms and slowing disease progression. This page explores the causes, risk factors, stages, and both traditional and cutting-edge treatment options for hip osteoarthritis, including when surgical interventions like total hip replacement become necessary.
--------------------------------------------------------------------------------------------------
Causes of Hip Osteoarthritis
Hip OA develops when the cartilage cushioning the joint deteriorates over time. Key causes include:
- Primary OA: Age-related "wear and tear" from repetitive stress on the joint.
- Secondary OA: Triggered by injury (e.g., fractures, dislocations), congenital abnormalities (e.g., hip dysplasia), inflammatory diseases (e.g., rheumatoid arthritis), or obesity.
---------------------------------------------------------------------------------------------------
Risk Factors
Several factors increase the likelihood of developing hip OA:
- Age: Risk rises significantly after age 50.
- Obesity: Excess weight places added stress on hip joints.
- Genetics: Family history of OA may predispose individuals.
- Gender: More common in women, particularly post-menopause.
- Occupation/Sports: Jobs or activities involving heavy lifting or repetitive hip motion.
- Previous Injuries: Trauma to the hip or pelvis.
Stages of Hip Osteoarthritis
OA progresses through four stages:
- Stage 1 (Early): Minor cartilage wear with no pain; often undiagnosed.
- Stage 2 (Mild): Bone spur growth; occasional stiffness or pain after activity.
- Stage 3 (Moderate): Cartilage erosion becomes noticeable, causing frequent pain and limited mobility.
- Stage 4 (Severe): Cartilage loss is extensive, leading to bone-on-bone contact, chronic pain, joint deformity, and potential femoral head deformation (loss of the ball-shaped structure of the hip joint).
.png)
-------------------------------------------------------------------------------------------
Conservative Treatments
Early intervention focuses on alleviating symptoms and preserving joint function:
- Lifestyle Modifications: Weight management, low-impact exercises (e.g., swimming, cycling).
- Physical Therapy: Strengthening muscles around the hip to improve stability.
- Medications: NSAIDs (e.g., ibuprofen) or acetaminophen for pain relief.
- Assistive Devices: Canes or braces to reduce joint pressure.
- Injections: Corticosteroids for inflammation or hyaluronic acid to lubricate the joint.
- Alternative Therapies: Acupuncture or heat/cold therapy for symptom relief.
-------------------------------------------------------------------------------------
Regenerative Treatments: PRP and Stem Cell Therapy
When conservative methods fall short, regenerative medicine offers innovative solutions:
1. Platelet-Rich Plasma (PRP) Therapy
- How It Works: Concentrated platelets from the patient’s blood are injected into the hip to release growth factors that reduce inflammation and stimulate tissue repair.
- Benefits: Minimally invasive, quick recovery, and potential to delay surgery.
2. Stem Cell Therapy
- How It Works: Mesenchymal stem cells (harvested from Wharton Jelly/Placenta Cord Blood) are injected to promote cartilage regeneration and modulate inflammation.
- Benefits: May restore joint function and reduce pain; often combined with PRP for enhanced effects.
Note: While regenerative therapies show promise, they are not cures. Research is ongoing, and outcomes vary based on disease severity and patient health. These treatments are typically explored when other options fail or as part of a holistic plan.
.png)
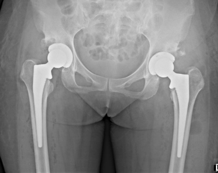
When is Total Hip Replacement Needed?
Total hip replacement (THR) becomes necessary when the joint damage is irreversible and conservative or regenerative treatments no longer provide relief. Key indicators for THR include:
- Severe Pain: Persistent pain that disrupts sleep, daily activities, or mobility despite other therapies.
- Bone-on-Bone Contact: Advanced cartilage loss (Stage 4 OA) confirmed by X-rays or MRI.
- Femoral Head Deformity: Structural damage to the femoral head (the "ball" of the hip joint), often due to avascular necrosis (bone death), severe OA, or congenital conditions like hip dysplasia. Deformity disrupts smooth joint movement, causing grinding, instability, and irreversible joint damage.
- Loss of Function: Inability to walk, climb stairs, or perform basic tasks due to stiffness or weakness.
- Joint Deformity: Visible changes in hip alignment or leg length discrepancy.
What is Total Hip Replacement?
THR involves surgically removing the damaged femoral head and acetabulum (hip socket) and replacing them with artificial components (prosthetics). Modern techniques and materials allow for durable, pain-free joint function in over 95% of cases.
BEFORE THR
AFTER THR
Conclusion
Hip osteoarthritis doesn’t have to mean a life of limited mobility. With early diagnosis, a combination of conservative strategies—such as physical therapy and weight management—can significantly improve daily life. For those seeking advanced options, regenerative therapies like PRP and stem cells provide a bridge between traditional care and surgical interventions. However, in cases of severe joint degeneration or femoral head deformity, total hip replacement remains the gold standard for restoring mobility and quality of life. Always consult a healthcare provider to tailor a treatment plan to your unique needs. By staying informed and proactive, you can take control of your hip health and maintain an active, fulfilling lifestyle.
----------------------------------------------------------------------------------------
Disclaimer: This content is for informational purposes only and should not replace professional medical advice.
[Call-to-Action: "Schedule a Consultation Today to Explore Your Treatment Options!"]



BR 24551
VN 13078
US 7268
AR 3948
MY 2011
GB 1715
MX 1657
EC 1450
