髋关节骨关节炎:了解、管理与治疗选择
.png)
引言
髋关节骨关节炎(OA)是一种退行性关节疾病,表现为髋关节软骨逐渐磨损。当保护性软骨消失后,骨骼直接摩擦,导致疼痛、僵硬和活动受限。全球数百万人受此困扰,尤其是老年人,生活质量显著下降。然而,保守治疗和再生医学的进步为缓解症状和延缓疾病进展提供了希望。本文探讨髋关节骨关节炎的病因、风险因素、发展阶段、传统及前沿治疗方式,包括何时需要全髋关节置换术等外科干预。
髋关节骨关节炎的病因
髋关节OA的发生与软骨逐渐磨损相关,主要原因包括:
- 原发性OA:与年龄相关的“磨损”,因关节长期重复受力。
- 继发性OA:由外伤(如骨折、脱位)、先天性异常(如髋关节发育不良)、炎症性疾病(如类风湿关节炎)或肥胖引发。
风险因素
以下因素可能增加患病风险:
- 年龄:50岁后风险显著上升。
- 肥胖:体重过重增加髋关节负担。
- 遗传:家族史可能提高患病倾向。
- 性别:女性更常见,尤其是绝经后。
- 职业/运动:需负重或重复髋部动作的工作或活动。
- 既往损伤:髋部或骨盆创伤史。
髋关节骨关节炎的发展阶段
OA分为四个阶段:
- 第1阶段(早期):轻微软骨磨损,无明显疼痛,常未被诊断。
- 第2阶段(轻度):骨刺形成,活动后偶发僵硬或疼痛。
- 第3阶段(中度):软骨明显侵蚀,频繁疼痛且活动受限。
- 第4阶段(重度):软骨几乎完全丧失,导致骨与骨直接摩擦、慢性疼痛、关节畸形,并可能出现股骨头变形(髋关节“球”状结构破坏)。
.png)
保守治疗
早期干预旨在缓解症状并保护关节功能:
- 生活方式调整:控制体重、低强度运动(如游泳、骑自行车)。
- 物理治疗:强化髋周肌肉以提高稳定性。
- 药物:非甾体抗炎药(如布洛芬)或对乙酰氨基酚缓解疼痛。
- 辅助工具:拐杖或支具减轻关节压力。
- 注射治疗:皮质类固醇消炎或透明质酸润滑关节。
- 替代疗法:针灸或热敷/冷敷缓解症状。
再生治疗:PRP与干细胞疗法
当保守治疗无效时,再生医学提供创新方案:
1. 富血小板血浆(PRP)疗法
- 原理:从患者血液中提取高浓度血小板,注射至髋关节以释放生长因子,减轻炎症并促进组织修复。
- 优势:微创、恢复快,可能延迟手术需求。
2. 干细胞疗法
- 原理:注射从Umbilical cord Wharton’s jelly ( 脐带华通氏胶)中提取的间充质干细胞,促进软骨再生并调节炎症。
- 优势:可能恢复关节功能并减轻疼痛,常与PRP联合使用以增强效果。
注意:再生疗法虽前景广阔,但非根治手段。疗效因疾病严重程度和患者健康状况而异,通常在其他治疗失败后或作为综合方案的一部分使用。
.png)
何时需要全髋关节置换术?
当关节损伤不可逆且保守或再生治疗无法缓解时,需考虑全髋关节置换术(THR)。主要适应症包括:
- 严重疼痛:持续疼痛影响睡眠、日常活动或行走,其他治疗无效。
- 骨与骨直接摩擦:X光或MRI确认的晚期软骨丧失(第4阶段OA)。
- 股骨头变形:因骨坏死、严重OA或髋关节发育不良等导致股骨头结构破坏。变形会阻碍关节活动,引发摩擦、不稳定及不可逆损伤。
- 功能丧失:因僵硬或无力无法行走、爬楼梯或完成基本动作。
- 关节畸形:髋部对齐异常或下肢长度差异。
什么是全髋关节置换术?
THR通过手术切除受损的股骨头和髋臼(关节窝),替换为人工假体。现代技术和材料使超过95%的患者恢复无痛且稳定的关节功能。
.png) THR 之前
THR 之前
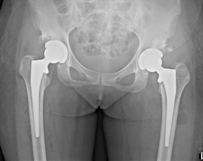
 .png) THR之后
  THR之后
结语
髋关节骨关节炎不意味着生活必须受限。早期诊断结合保守治疗(如物理治疗和体重管理)可显著改善生活质量。对于寻求进阶方案者,PRP和干细胞等再生疗法是传统治疗与手术之间的桥梁。然而,在关节严重退化或股骨头变形的情况下,全髋关节置换术仍是恢复活动能力和生活质量的黄金标准。请务必咨询专业医生,制定个性化治疗方案。保持积极态度和科学管理,您仍可享受充实、活跃的生活。
免责声明:本文内容仅供参考,不能替代专业医疗建议。
[行动呼吁:立即预约咨询,探索适合您的治疗方案!]









 
            
             
		 
                 
 BR                                13659
BR                                13659                             VN                                7308
VN                                7308                             US                                4108
US                                4108                             AR                                2048
AR                                2048                             CN                                1309
CN                                1309                             EC                                801
EC                                801                             SG                                716
SG                                716                             RU                                495
RU                                495                             
         
        
 
        